A propósito de un caso…
Anciano pluripatológico: fibrilación auricular anticoagulada, diabetes mellitus tipo II, demencia tipo Alzheimer con GDS 6, cuidado las 24 horas por cuidadoras internas y familiares. Avisan a nuestra guardia del Punto de Atención Continuada. Pese a que se aumentó dosis de medicación antipsicótica nocturna por su médica de familia por inquietud aumentada los días previos, sigue muy agitado. Se ha tirado de la cama en varias ocasiones, ligera heteroagresividad.
A nuestra llegada el paciente está en cama, lo han levantado entre cuidadora y familiar desde el suelo. Lo valoramos y está consciente pero desorientado en tiempo y espacio aunque obedece a órdenes sencillas. Refiere la familia notarlo ligeramente más desorientado de lo normal. Presenta alguna escoriación en cuero cabelludo. Puede menear las cuatro extremidades sin dificultad, presenta fuerza conservada por grandes grupos musculares sin claudicación de miembros; exploración neurológica limitada por situación basal pero nada que nos llame la atención. Exploramos pelvis y no le duele pero presenta una equimosis no reciente que baja a pierna izquierda, extensa —recuerdo que está anticoagulado—. No está tranquilo durante la exploración, presenta un continuo «ay, ay» que me llama la atención. Se lo comento a mi adjunta, me impresiona de dolor…
Venimos del centro de salud, por lo que quien trabaje en la Comunidad Valenciana sabe lo limitados que tenemos los fármacos y dispositivos en las mochilas de calle (a no ser que vayas con una SVA, que no era el caso, claro…). Por lo que en domicilio, en esas condiciones, con una exploración normal: valorando temperatura, auscultación, exploración neurológica, revisión de nuevos fármacos, etc. y ante las múltiples visitas que ya había hecho su médica previamente (donde todo era normal, incluido el combur en orina) y ante la claudicación familiar, decidimos traslado al Servicio de Urgencias Hospitalarias para más pruebas que descarten causas de su agitación. Planteamos remitirlo con analgesia pero la vía intramuscular no es muy aconsejada por la anticoagulación, el paciente se arranca la primera vía intravenosa que le colocamos y no disponemos de nebulizador nasal ni tampoco gran cantidad de fármacos con los que probar —un poco risa lo de tener LA AMPOLLA de morfina en la mochila, como si fuera el anillo único—. Total, que lo mandamos sin analgesia (mal, mal, mal por mí, pero no sabíamos cómo abordar en ese momento sin apenas recursos).
Al remitirlo me extiendo en el informe del p10 explicando que me impresiona de dolor, de la equimosis de la pierna, que se había tirado varias veces al suelo y bueno… No sé si solo es mi experiencia pero en ese maravilloso papel en el que a veces tanto mimo solemos poner acaba por perderse en las infinitudes de una historia clínica electrónica que nadie revisa. Porque nadie lo leyó, ni en Urgencias ni los siete días que estuvo hospitalizado dicho paciente.
Cosas de la vida, yo empecé a rotar en el servicio de Psiquiatría en la Unidad de Agudos y la psiquiatra a la que le tocaban las interconsultas aquella mañana me dijo: oye, te vienes conmigo a ver un paciente agitado con un síndrome confusional y te explico el manejo.
Habían ido subiendo medicación en planta sin poder controlar la agitación, ahora sumado a la confusión de estar ingresado en el hospital. Se había descartado foco infeccioso, síndromes metabólicos, equivocaciones de medicación o interacciones farmacológicas… Los internistas habían hecho de veras un trabajo increíble pero el paciente cada día estaba más agitado.
Allá que me fui y me veo al mismo paciente que yo misma había valorado desde su domicilio. Lo explora la psiquiatra, también le llama la atención la equimosis en la pierna, ya en fase de resolución y habla con el familiar y demás. Yo sigo con lo mío y le comento a la psiquiatra: mira, este señor tiene mala cara, se quejaba, yo creo que tiene dolor, pero no sé si es de la pierna o de dónde viene. Pero algo tiene.
Lo pone en la interconsulta y le solicitan una radiografía de pelvis y cadera que nadie le había hecho hasta entonces:

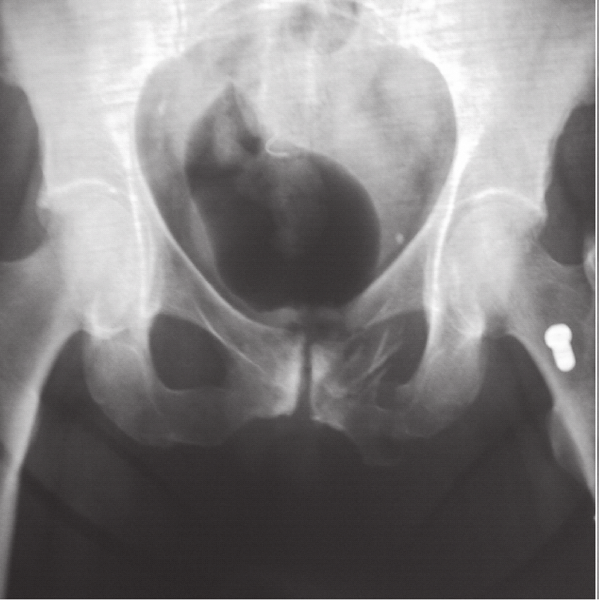
Din, din, premio: fractura de rama isquiopúbica
Fue algo muy similar a esto, pero solamente fractura de una rama y no descargué la RX original al no tratarse de un caso objeto de exposición a congreso/artículo y un poco también por preservar la intimidad del paciente puesto que el caso iba más sobre el manejo.
Y como si fuera magia, a aquel paciente le pusieron un analgésico de potencia moderada y la agitación se controló.
Fin del caso.
Viene la parte científica…
Ahora, lo interesante, la chicha, es el porqué pensé en el dolor en este caso. Había signos físicos que nos orientaban pero también había una idea rondando por varias experiencias previas, que es pensar en el DOLOR como causa desencadenante de agitación en los pacientes no verbales.
Este axioma no es mío, se lo había ya leído (creo y espero no equivocarme, y si no, lo siento) a la psiquiatra Marta Carmona en X @MartaCarmonaOs
Y sin entrar de momento en grandes disquisiciones ni pesquisas bibliográficas acerca del tema, ciertamente tiene todo el sentido del mundo. El dolor es una experiencia desagradable que diariamente manifestamos de formas muy distintas y variadas según nuestro contexto, tanto biológico, biográfico, social como geográfico. Las personas que tenemos la capacidad de comunicación intacta podemos verbalizar claramente: me duele aquí, de esta manera, desde tal situación o simplemente llorar o gritar, que es el mecanismo universal de buscar ayuda del otro.
Como madre de un niño pequeño, doy fe de ello. Las noches de lloros incesantes, de no saber qué narices la pasa al niño, ya a la segunda o tercera vez que aparecía al día siguiente con una otorrea unilateral, supe que tenía otitis medias agudas. Por tanto, ante la duda cuando no calmaba a brazo un rato, pasábamos al analgésico (todo niño que se despierte berreando de noche, muy inquieto, hasta que se demuestre lo contrario tiene dolor y la OMA es normalmente una de las patologías más frecuentes).
Disclaimer: no estoy abogando de darle analgésicos cada noche a un niño que llora, que nos conocemos. Sino, que como nos pasa a todos, a veces los niños lloran por dolor y cuando es algo continuo de poca evolución, como auto-cuidado, se puede probar dando una toma de analgésico habitual a su dosis y si no se pasa, se puede consultar sin problema. Yo tengo la ventaja de tener mi otoscopio en casa; aunque en casa de herrero, cuchillo de palo: explorarlo es imposible.
Entender qué le ocurre a una persona con la capacidad de comunicación disminuida (ya sea por deterioro de la consciencia o por patología subyacente como puede ser el caso de una demencia) es un reto médico. Por eso, el relato de los familiares y cuidadores es indispensable y sobre todo creer en ello (me hago auto-promo y te remito a mi entrada anterior: Creer es una decisión).
Casi todos los ancianos con demencia sufrirán al menos un episodio de agitación, por lo que tenemos que saber detectar cuáles de ellos precisan un abordaje más específico. En los casos de agitación en general y en causas de síndrome confusional, si nos atuviéramos a realizar una práctica clínica estandarizada —donde creo que sistemas ya no solo de IA, sino con bases de datos de protocolos y checklist confirmatorio de que se ha realizado todo—, encontramos el dolor como un factor a considerar.

Lo primero a valorar sería si los síntomas pueden explicarse por el deterioro cognitivo y garantizar que las necesidades básicas (fisiológicas, psicológicas y sociales) estén cubiertas y satisfechas. Recuerdo en este momento que al igual que la población pediátrica, los ancianos pueden ser víctimas de maltrato y no poder verbalizarlo.
La agitación puede manifestarse de muchas maneras, depende de cada paciente. A veces la demanda de atención por parte de los familiares es tan vaga e inexacta como el famoso: MEG (mal estado general) polémica aparte; o el «no está como siempre»…

Hay que echarle mucho mimo, de veras. Detrás de agitaciones, en mi corta vida de residente, he diagnosticado múltiples cosas con mejor o peor resultado: TEP, IAM, sepsis, cánceres varios, descompensaciones de ICC… La historia es que a veces no sospechamos dolor y si lo hacemos, el cómo llegamos a confirmarlo… ay, ardua tarea.
El dolor a veces es muy difícil de valorar en estos casos, sobre todo cuando estamos en un caso de demencia y dependencia avanzada. La demencia provoca una pérdida de funciones cognitivas superiores: habilidades de comunicación, memoria y la interpretación. Por tanto, son incapaces de comunicarnos lo que sienten y cuantificarlo; desde el otro lado tardamos además en detectarlo y tratarlo. Existen diversas escalas validadas para evaluar el dolor en pacientes no verbales que se basan en la observación del comportamiento de los pacientes. Vamos, lo que los compañeros de EMpod.cat siempre bromean de que no hacemos (¡saludo de nuevo! sois buenísimos): sentarnos en la cama del paciente y observarlo, tocarlo… Y si me aceptan este pequeño consejo: revisad la HCE sobre lo que otros compañeros han visto: la AP son los ojos del resto de especialistas hospitalarios, hagámosle caso a lo que ponen, por favor.
Cuando el paciente no nos puede hacer una valoración del dolor por su propia cuenta con un EVA (Escala Visual Analógica), podemos encontrar otro tipo de escalas para valorarlo siguiendo signos y síntomas según donde nos encontremos (IOT en UCI, neonatos, etc.) En el caso de la demencia, que es lo que más habitualmente encontraremos en un servicio de urgencias hospitalarias o atención primaria:
- Escala de Evaluación del Dolor en la Demencia Avanzada (PAINAD): Se enfoca en pacientes con demencia. Mide la respiración, vocalización negativa, expresión facial, lenguaje corporal y consolabilidad.

En la carrera también te explican e insisten en aquello de: la variabilidad del ritmo cardíaco, la sudoración de la piel, la tensión… Pero en esta población que tenemos, tan envejecida, donde todos están con IECA, betabloqueantes y una lista inmensa de medicación que hace que nuestro cuerpo no funcione como el hombre ideal sano de 30 años y 75 kg… pues toca echar mano de escalas y un poquito de ojo clínico.
Según algún estudio, dicho ojo clínico nos hace percatarnos de la existencia del dolor pero normalmente lo infratratamos. Dependiendo pues del paciente que tengamos delante, no está de más tener en cuenta ciertas consideraciones en cuanto al dolor y demencia:

Como es habitual, infratratamos el dolor en todos nuestros pacientes y, en estos casos, incluso obviamos la posibilidad de que el desencadenante de la agitación del paciente anciano con analítica escrupulosamente normal y TC cerebral «sin cambios respecto a previos» sea dolor. Partiendo del primum non nocere, a veces no está mal hacer una prueba terapéutica con un analgésico y valorar evolución. Escalar, ver respuesta y si es necesario, INCLUSO EN NIÑOS, poner mórficos. Hay que tenerles respeto pero no miedo. Y si me equivoco, dentro de lo malo, no pasa nada: escribo lo que he hecho y mis compañeros, en futuras tandas, sabrán que este camino ya está investigado; porque a veces hay que recordarse que el paciente es de todos.
Por tanto, si quiero que de toda esta vomitera de datos quede algo a remarcar es que el dolor debe ser uno de los ítems a revisar en nuestro checklist cuando hay agitación en un paciente no-verbal, ya sea pediátrico o adulto.
Como decía un adjunto mío que ya está en otra zona básica de salud (que en paz descanse fuera de las guardias): cadáveres tenemos todos en nuestro armario (sic). No pasa nada por no hacerlo bien a la primera, no haberlo valorado entonces. La historia es no cometer dos veces el mismo error. Yo reviso casos de cómo he infratratado el dolor y me da mucha vergüenza y lástima… pero como siempre, no nacemos aprendidos, todo tiene un proceso y seguro que a la próxima no se nos escapa.
Un abrazo y hasta la próxima.
Espero de corazón que os haya sido útil e interesante.
BIBLIOGRAFÍA UTILIZADA:
Cruz-Orduña, I., Puente-Andúes, L., Tardío, M., Rivera, B., Fernández-Bullido, Y., & Olazarán, J. (2021). Abordaje de la agitación en el anciano con demencia. Formación Médica Continuada en Atención Primaria (FMC), 28(10), 576–590.
Montoro-Lorite, M., & Canalias-Reverter, M. (2015). Dolor y demencia avanzada. Revisión bibliográfica. Gerokomos, 26(4), 142–147. (Obtenido de Scispace)
Herr, K. (2011). Pain assessment strategies in older patients. The Journal of Pain, 12(3 Suppl), S11–S18. Disponible en PubMed: PMID 21396599.






Deja un comentario